首 页
医院概况
就医指南
科室设置
党建文化
新闻中心
护理园地
科研教学
人力资源
院务公开
护理园地
护理园地
您当前的位置:
首页
>>
护理园地
>>
护理园地
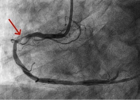
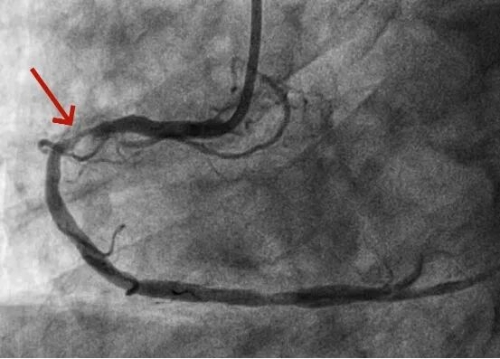
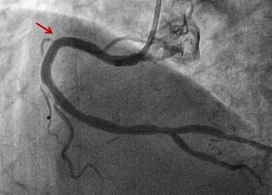
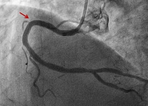
【山好水好人更好】州医院成功抢救七旬东北突发重症游客
作者:hlb 来源: 黔南州人民医院 发布日期:2026-03-24 18:16:03 浏览次数:
文章字号:
大
中
小
责任编辑:
【打印】